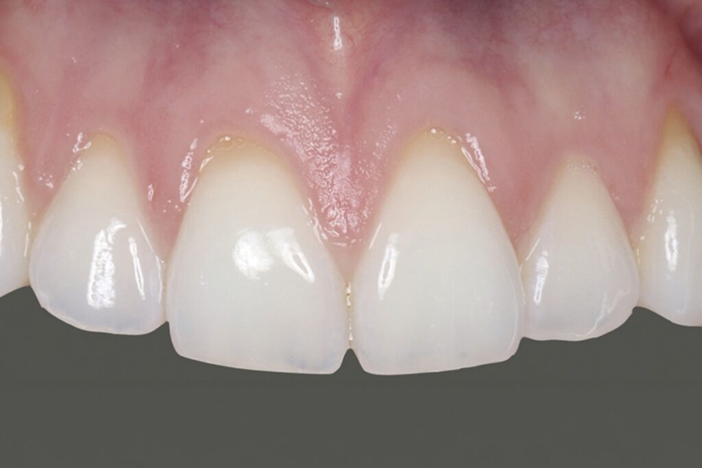
Des conséquences bien réelles et visibles
Déchaussée, la racine, plus fragile que l’émail, devient exposée et vulnérable : sensibilité au chaud et au froid, caries des racines et usure prématurée. À plus long terme, une perte osseuse peut compromettre la stabilité des dents. Esthétiquement, le sourire peut paraître plus long, irrégulier ou déséquilibré.
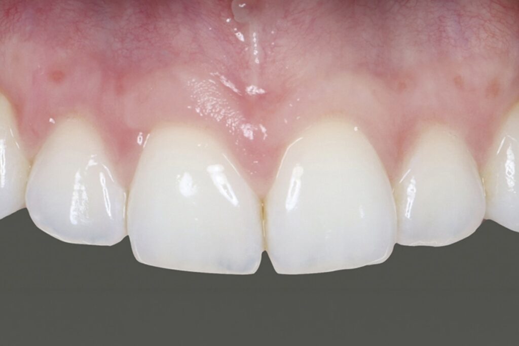
La solution de choix : la greffe de gencive
Il existe une solution efficace et durable : la greffe de gencive. Réalisée sous anesthésie locale, elle consiste à prélever un mince tissu — généralement au palais — pour le repositionner sur la zone affectée. En une seule séance, une ou plusieurs dents peuvent être traitées. Les bénéfices sont nombreux : amélioration esthétique, protection de la racine, stabilisation à long terme et diminution de la sensibilité. Avec un taux de succès avoisinant 96 %, il s’agit d’un traitement prévisible. La récupération est simple, avec une sensibilité temporaire bien contrôlée par la médication.
Une expertise spécialisée, au cœur de l’expérience
À Québec, Villa — Espace Paro se distingue par son expertise en traitement des récessions gingivales. Dans un environnement pensé pour le confort, chaque étape est encadrée : évaluation, plan personnalisé et accompagnement attentif. « Nous savons que ce type d’intervention peut susciter du stress. C’est pourquoi nous avons créé un environnement apaisant », explique le directeur général, Stéphane Destison. Le jour de la chirurgie, tout est mis en place pour favoriser la détente. Un suivi rigoureux est assuré dans les semaines suivantes.
Préserver ce qui ne se remplace pas
Un sourire naturel est irremplaçable. Intervenir tôt permet de freiner la progression, de préserver la fonction et l’esthétique, et d’opter pour un traitement simple aujourd’hui plutôt que complexe demain.




